Top.Mail.Ru
voronezh@dia-m.ru 8 (800) 234-05-08
+7 (473) 232-44-12
Ваш регион Москва?

Практические мастер-классы по цифровой гистологии, г. Москва.

02.04.2026

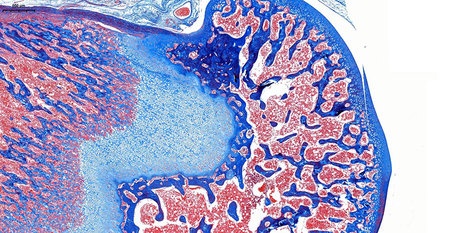
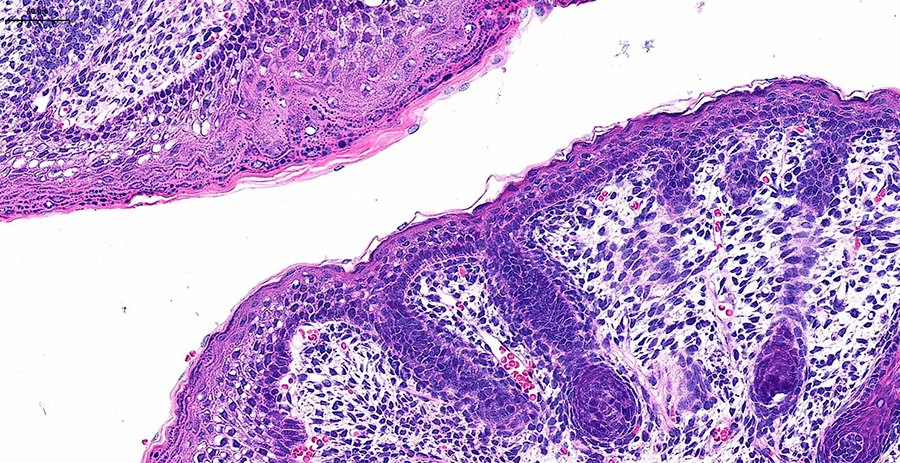
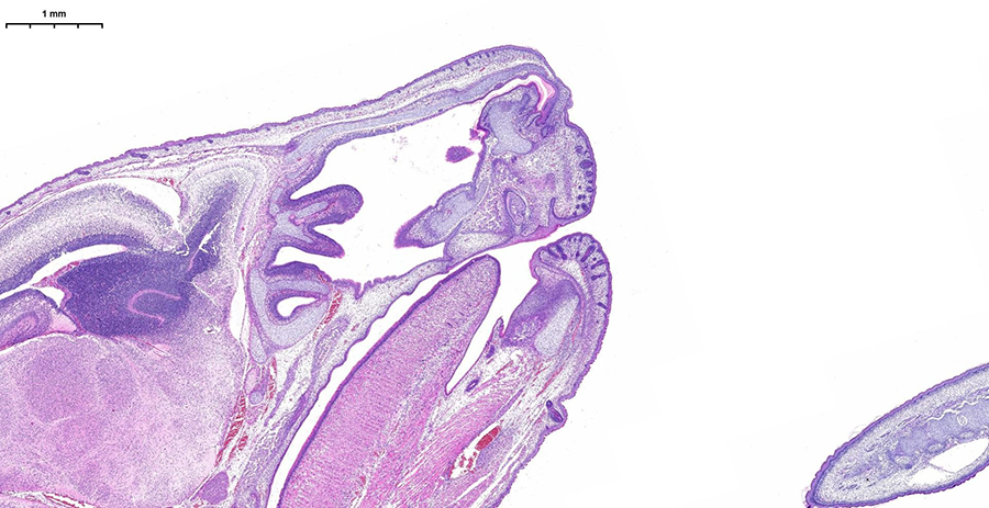
Погрузитесь в будущее гистологической лаборатории на двухдневном мероприятии, где представится возможность поработать с новейшим гистосканером LG-S80 от Servicebio.Протестируйте гистосканер LG-S80 от Servicebio на своих образцах.

В нашей лаборатории вы можете оценить высочайшее разрешение и скорость обработки (полное стекло за 3-5 минут) данного оборудования.

Аналитическое ПО сканера автоматически распознаёт структуры и формирует количественные отчёты с готовыми данными.

Приносите для апробации свои образцы, демонстрируемая конфигурация флуоресцентных каналов (Ex/Em, нм):

Опционально:


Адрес: г. Москва, ул. Магаданская, д.7 корп. 3.

Дата и время: согласовываются индивидуально.

По всем вопросам пишите ap@dia-m.ru или звоните по номеру 8 906 0533 799 (Анна).

Ваш заказ будет обработан
в ближайшее время.
Мы пришлем уведомление, как только все будет готово. Спасибо!